
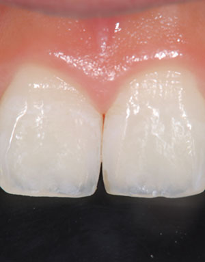
↓ホワイトスポット(石灰化不全)の症例

当院では、自費診療での「コンポジットレジン充填(CR充填)」を取り扱っております。「コンポジットレジン(CR)」は、現在虫歯治療などで広く普及している、樹脂製の白い修復用素材です。以前は金属を詰めて治していた虫歯も、近年はコンポジットレジン充填により、短時間で白い歯に修復する治療が一般的になりました。
通常の保険で使うレジンは、吸水性を持つ性質により着色しやすく、時間が経つにつれて劣化し、また強度が弱く欠けやすいといわれています。それに対し、自費診療でのレジンではレジンにセラミックの微粒子を混ぜたものが使用されており、透明感のあるより自然な歯の色を再現でき、変色しにくく強度も強いことが特徴です。

ダイレクトボンディングとは?
ダイレクトボンディングは、通常保険適用されるプラスチックとは異なり、審美修復用プラスチックで天然歯のような自然な歯を再現する治療方法です。また、保険適用のプラスチックよりも強度が高く、耐久性に優れているため、見た目の美しさや機能を維持したまま仕上げることができます。
ダイレクトボンディングのメリット・デメリット
メリット
・1日で治療が終わります
・来院したその日のうちに修復が完了するので、患者さまの負担も軽減されます。
・費用を抑えることができる
・すきっ歯を治すとなると、矯正治療の場合、高額になりますが、ダイレクトボンディングの場合は、比較的安価で費用を抑える事が出来ます。
・さまざまなお悩みに対応可能
・前歯の変色、前歯のすきっ歯、矮小歯などのさまざまな症例に対応可能です。
デメリット
・外れる可能性がある
・前歯の治療の場合には、歯の表面に接着されているので、まれに外れる場合があります。
・適応できない場合がある
・奥歯などの強い力が加わる箇所にはダイレクトボンディングは向いていません。
